|
Carolina Timeless Tips

Flower Anatomy

One of nature’s beauties is flowers, with flowering plants universally sought out for their beauty and usefulness. Although humans have relied and still rely on them as main sources of food, beauty, and medication, most people know surprisingly little about flowers or parts of flowers. Flowering plants are angiosperms which can be further divided into monocots and dicots based on flower structure. Botanists distinguish angiosperms from other plants because angiosperms produce seeds through sexual reproduction and are completely enclosed by special structures called sporophylls.

Flower Anatomy: Parts of a Flower

Rose buds on receptacles
FIGURE 1 Rose buds on receptacles

Flowers are attached to the plant’s main stem or a larger stalk by a smaller stalk called a pedicel. The various parts of the flower rest in the receptacle, often referred to as a flower bud (flower bud microscope slide), which is usually protected by sepals. The receptacle houses the ovary and other reproductive parts at the end of the flower stalk or peduncle. Reproductive parts can be classified as either female parts or male parts, and flowers themselves are classified as monoecious plants (containing both male and female reproductive organs) or dioecious plants (containing either male or female reproductive organs). (Fig. 1).

Flowers first appear as meristematic outgrowths of the receptacle. A longitudinal section of a sunflower head shows numerous flowers developing on the receptacle (Fig. 2). In certain flowers, such as magnolia, the receptacle is elongate with the floral parts arranged spirally on it (Fig. 3). In contrast, the receptacle may be disc-like and appear flattened, with cyclic or whorled floral structures, as in Hepatica (Fig. 4).

The sets of flower parts from outside inward are the calyx, the corolla, the stamens, and the pistil (Fig. 5). The individual parts of the calyx are sepals; those of the corolla are petals. Together, the calyx and the corolla make up the covering structure, the perianth. The several thin stalks with enlarged ends are stamens, and the central structure is the pistil. The stamens and the pistil are organs of reproduction.

Generally, sepals are green, but in many plants, the calyx may be some other color. The entire perianth of the buttercup is yellow. In some angiosperms, the corolla may be green. The figures below show different types of flowers and morphology.

FIGURE 2: Longitudinal section of a sunflower head. Photographed from CBSCO slide B 672a
Partially dissected magnolia flower
FIGURE 3 Partially dissected magnolia flower
Hepatica flowers
FIGURE 4 Hepatica flowers
FIGURE 5 Diagram of a flower

Male Reproductive Parts: The Stamens

Just inside the corolla, the typical flower has a group of male organs called stamens. The stamens are numerous in Saint-John’s-wort (Fig. 6). A stamen has two parts, the anther or terminal structure which produces pollen and the filament or supporting stalk (Fig. 7). The developing anther produces reproductive cells (microspore parent cells, Figure 8), each of which undergoes meiosis to produce four pollen grains.

Flower of Saint-John’s-wort
FIGURE 6: Flower of Saint-John’s-wort
FIGURE 7: Stamen
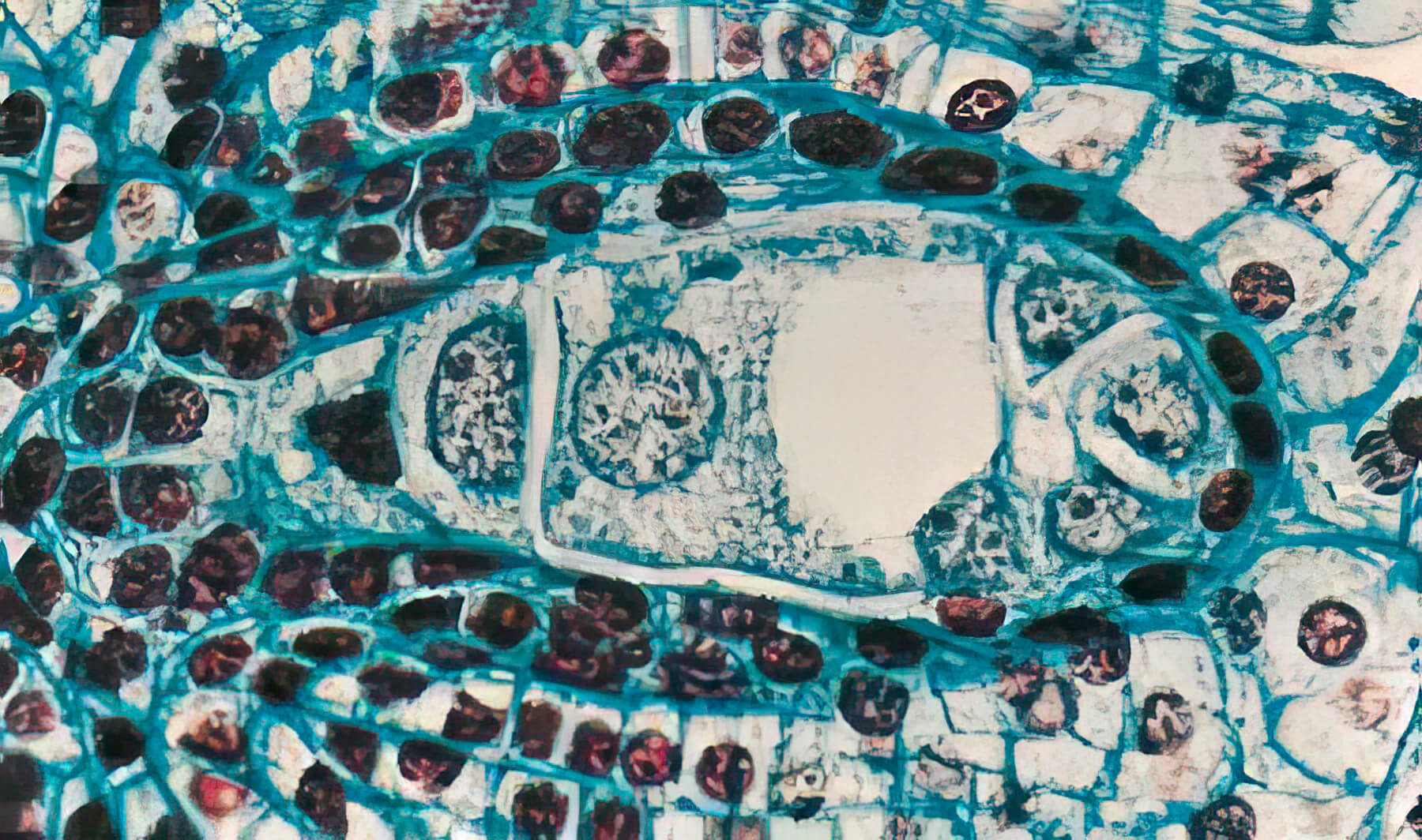
FIGURE 8 Section of young anther. Photographed from CBSCO slide 97-9050
FIGURE 8 Section of young anther. Photographed from CBSCO slide 97-9050

Female Reproductive Parts: The Pistil

FIGURE 9 Dissected views of Narcissus flower
FIGURE 9 Dissected views of Narcissus flower

The pistil or the female reproductive structure has three major parts: the ovulary, resting in the receptacle; the style, projecting from the ovulary; and the stigma or stigmas, terminating the style. Together, these structures are termed a carpel. Dissected views of Narcissus (Fig. 9) show the pistil, the stamens, the perianth with an outgrowth called a corona, and a closer view of the ovulary with its ovules (rudimentary seed). As seen in a developing lily ovulary (Fig. 10), the ovule begins as a small growth within the cavity. A reproductive cell with a large nucleus develops within the ovule (Fig. 11). This large nucleus undergoes meiosis and results in a small, multinucleate, haploid female plant (megagametophyte) within the ovule (Fig. 12). One of the nuclei functions as the egg nucleus.

FIGURE 10 Lily ovules in ovulary, c.s., 12 µm
FIGURE 11 Section of lily ovule with reproductive cell. Photographed from CBSCO slide B 701
FIGURE 11 Section of lily ovule with reproductive cell. Photographed from CBSCO slide B 701
FIGURE 12 Section of mature lily megagametophyte. Photographed from CBSCO slide B 709
FIGURE 12 Section of mature lily megagametophyte. Photographed from CBSCO slide B 709

Pollination

Pollination occurs when a flower opens, and a pollen grain reaches the surface of the stigma. Wind and insects are the chief carriers of pollen. Mature pollen is a small, haploid male plant (microgametophyte) consisting of three cells, a tube cell with its nucleus and two small sperm cells (Fig. 13). For fertilization to occur, the pollen tube must grow the full length of the style, through the ovulary, and into the ovule where a sperm nucleus fuses with an egg nucleus. In plants such as corn, it is astounding that the pollen tube grows the full length of the style (corn silk). After fertilization, the ovule develops into a seed, and the mature ovulary becomes a fruit. In some angiosperms, such as apple and strawberry, additional structures may be part of the fruit. Some plants identified as dioecious plants, like squash and cucumbers, have distinct male flowers and female flowers, the male flower containing stamens and the female flower containing pistils.

FIGURE 13 Portion of pollen tube with tube nucleus and two sperm cells. Photographed from CBSCO slide B 692
FIGURE 13 Portion of pollen tube with tube nucleus and two sperm cells. Photographed from CBSCO slide B 692

Flower Types

A flower with functional pistil and stamens is a perfect flower; one lacking either pistils or stamens is imperfect. In the pumpkin (Fig. 14), the pistillate flower can be recognized by the swollen ovulary, while the staminate flower shows fusion of the stamens.

The relative position of the perianth and the stamens on the receptacle and their relationship to the ovulary follows three basic patterns: hypogynous, perigynous, and epigynous (Fig. 15). The suffix gynous is derived from the Greek word meaning woman and refers to the ovulary of the flower. The prefix describes the position of the bases of the other flower parts. In a hypogynous flower, the other flower parts are seated on the receptacle at the base of the ovulary. In a perigynous flower (Fig. 16), the other flower parts appear to be borne on the margin of the floral tube and are therefore around the ovulary. In an epigynous flower, the perianth and stamens appear to be growing on top of the ovulary.

FIGURE 14 Partially dissected staminate and pistillate pumpkin flowers
FIGURE 14 Partially dissected staminate and pistillate pumpkin flowers
FIGURE 15 Three basic types of floral positions
FIGURE 15 Three basic types of floral positions
FIGURE 16 Partially dissected cherry flower
FIGURE 16 Partially dissected cherry flower

Inflorescences

Flowers occur singly or in clusters. A group of flowers borne close together, forming a natural cluster, is an inflorescence. Modified leaves, bracts, may be associated with a flower or inflorescence. A bract is not considered a flower part because it originates below the receptacle and not from the receptacle. A dogwood “flower” is not a flower at all, but an inflorescence surrounded by large, attractive bracts (Fig. 17).

There are two general types of inflorescences, determinant and indeterminant (Fig. 18). A determinant inflorescence produces flowers from the center outward or from the top downward, making the central flower usually the first to mature and open. The three kinds of determinant inflorescences are solitary, cyme, and compound cyme.

An indeterminant inflorescence produces flowers from the margins inward or from the bottom upward. The spike, the raceme, and the panicle are three types of indeterminant inflorescences which have elongate appearances. The corymb, the umbel, and the head are indeterminant inflorescences which are relatively flat-topped with flowers nearly on one level.

FIGURE 17 Dogwood inflorescence
FIGURE 17 Dogwood inflorescence
FIGURE 18 Types of inflorescences

This article was originally published as “The Flower” in Carolina Tips®, Vol. 37, No. 13 (print version, November 1974); it was revised March 2026.

Further Reading

Emerson, F. W., Basic Botany, The Blakiston Company, New York, 1954.

Grehan, F., and Rickett, N. W., The Odyssey Book of American Wildflowers, The Odyssey Press, New York. 1964.

Greulach, V. A., and Adams, E., Plants, An Introduction to Modern Botany, John Wiley and Sons, Inc., New York, 1967.

Hill, J. B., Overholts, L. O., and Popp. H. W., Botany, A Textbook for Colleges, McGraw-Hill Book Company, Inc., New York, 1950.

Justice, Wm. S., Bell, C. Ritchie, and Lindsey, Anne H., Wild Flowers of North Carolina, 2nd edition, The North Carolina University Press, Chapel Hill, 2005.

Swingle, D. B., A Textbook of Systematic Botany, McGraw-Hill Book Company, Inc., New York, 1946.

Zim, H. S., and Martin, A. C., Flowers, Golden Press, New York, 1950.

Thomas E. Register, William R. West, and Linda Noah Dierks

From the Botany Slide, Photography, and Art Departments

Carolina Science, Burlington, North Carolina 27215

Updated March 2026

About The Author

Newsletter Signup

Get the latest news, free activities, teacher tips, product info, and more delivered to your inbox.